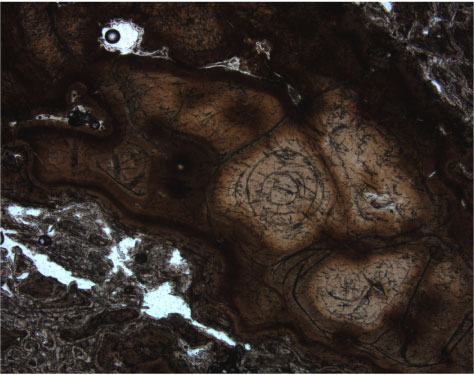
Figure F38. Photomicrograph of Unit 2 showing remnant perlitic texture with scattered microlites surrounded by alteration products (Sample 193-1188A-5R-1, 35-38 cm, in plane-polarized light; width of view = 2.75 mm. Photomicrograph ID# 1188A_13; thin section 3).