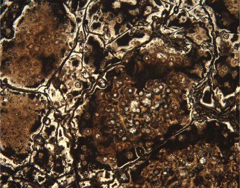
Figure F44. Clay-altered spherulites surrounded by fracture controlled silicification (interval 193-1188A-7R-1, 120-124 cm, Unit 5, in plane-polarized light; width of view = 2.75 mm. Photomicrograph ID# 1188A_36; thin section 5).